Developing Positioning Tape
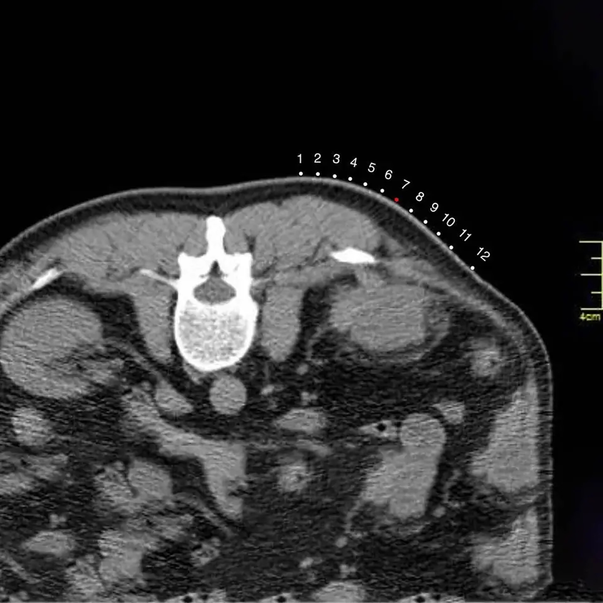
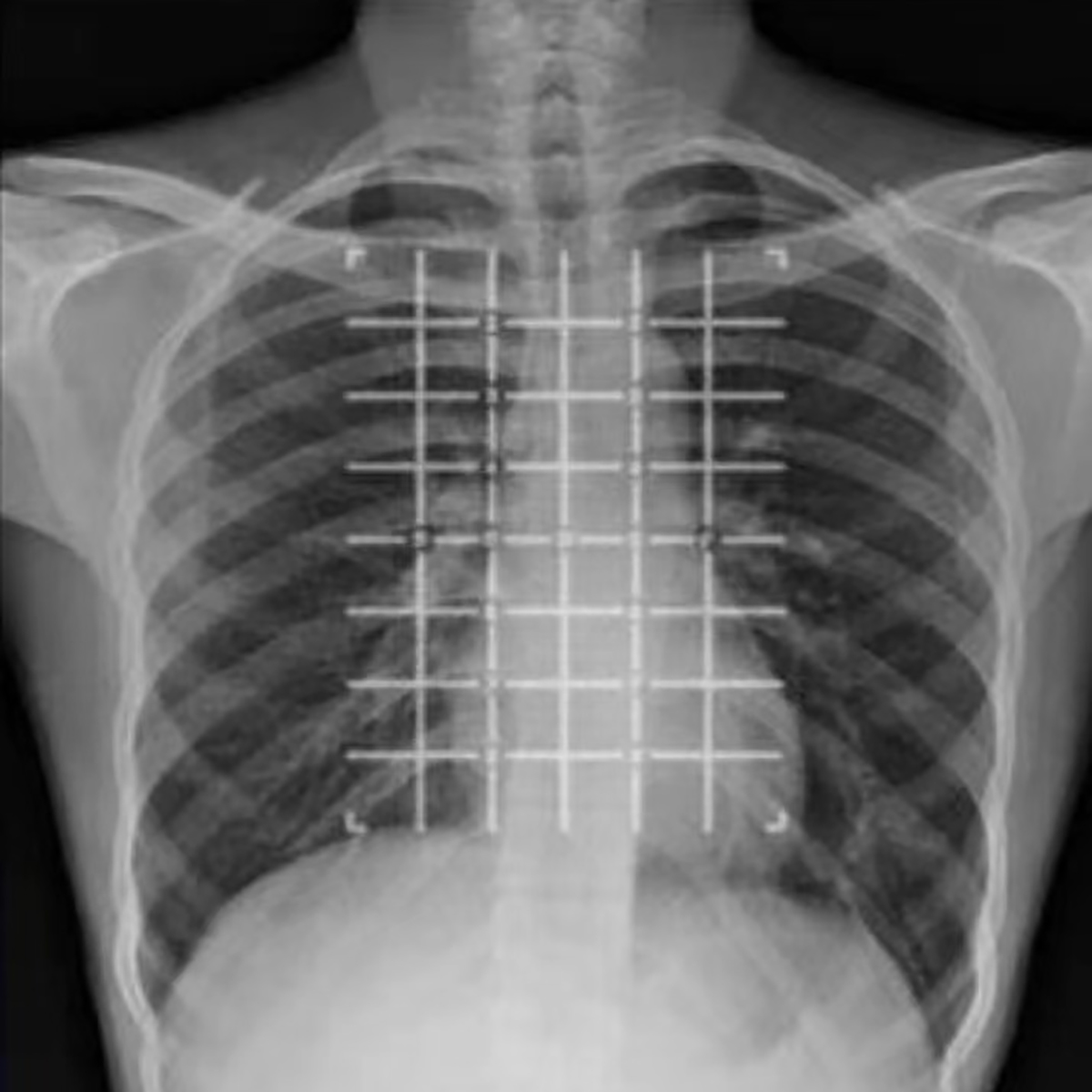
This product adopts X-ray developing fiber to be heat-sealed on the adhesive cotton sheet to make a grid-shaped developing grid cotton sheet. There are round holes or square holes of equal size and spacing between the grids, and the hole diameter is 1 cm*1cm. The X-developing fiber is made of polypropylene or thermoplastic polyurethane containing BaSO4. While retaining the fiber ductility and toughness of the raw materials, it can block nearly 95% of X-rays to complete the optical imaging under the CT machine. By 3M level tape attached to the cotton sheet, it can be softly and comfortably stuck to the skin surface, and without toxic and damage, and hypoallergenic to human. After use, it can be easily peeled off. When applies to the coordinate system, it will be more convenient for doctors to pinpoint the location they need. Which plays a critical role on reducing the errors and time for surgical operations.
![]() | ![]() | ![]() | ![]() |
Application environment
The expected use environment of the product is mostly extracorporeal puncture, preoperative planning, lesion location, etc., using CT guidance to complete a more rapid, simple, convenient and accurate percutaneous puncture location. It is sterile, non-toxic, harmless, easy to operate, and not easy to cause cross-infection. It can better help doctors and patients, and reduce the risks and worries of surgery.
![]() | ![]() | ![]() | ![]() |
Recommended departments
1.Intervention department: Body surface locating before puncture in minimally invasive interventional surgery.
2. Respiratory medicine department: Locating of lung puncture.
3. Oncology department: For the locating of tumor ablation.
4.Orthopedics department: For the Locating of minimally invasive orthopedic surgery
5.Pain treatment department: For the locating of interventional therapy of lumbar disc and other painful sites.
Instruction use
1.The part of skin which will be punctured must be disinfected before the tape is deployed.
2.Open the sterilized package and take out the single piece inside. Peel off the backing tape, and paste it on the part that needs to be located.
3.Scan the site to be punctured by CT/MRI/DR/DSA, and screen shot the image. Use the grid to confirm the puncture point.
4.Mark the point and continue to the operation with the position located.
Comparison of positioning methods
Radiopaque Positioning tape | Precise positioning of the puncture section, single-use, very close to the skin, easy to operate, less preparation time, short procedure time |
Metal Grid Localization | Higher accuracy compared to naked eye positioning, requires more time, requires sterilizing the metal grid, inconvenient to handle |
Naked Eye Localization | Inaccuracy of the puncture portion based on the surgeon's experience with localization, requiring more operative time and possibly multiple punctures |
Advantage